近日,一名患有先天性心脏病的8岁男童自北京前来南华大学附属第一医院就诊。医院心血管内科团队联合多学科协作,成功为患儿实施湘南地区首例低龄患儿“经导管无Mark点全降解封堵器植入术”,填补了该区域内低龄儿童先天性心脏病全降解介入治疗的技术空白,为这类患儿提供了更契合生长发育需求的治疗新选择。

因患儿正处于生长发育关键期,为避免传统金属封堵器在体内长期存留可能引发的远期并发症,医疗团队选用无Mark点全降解封堵器。该封堵器采用医用级生物可吸收高分子材料制成,能为心脏缺损修复提供稳定支撑,待自体心内膜组织愈合后,于术后两年内逐渐降解为水和二氧化碳排出体外,真正实现“介入无植入、术后无残留”,从根源上解决了金属器械与儿童生长发育不相容的问题。
针对低龄患儿血管纤细、心脏结构未发育完全的特点,手术团队采用以超声引导为主、极少射线辅助的精准操作模式。术中超声全程实时清晰呈现心脏缺损位置、封堵器释放与贴合状态,在有效避免传统X射线对患儿辐射影响的同时,实现了40分钟内封堵器精准植入,且术后无残余分流。
患儿术后恢复良好,24小时即可下床活动,3天后顺利出院,充分体现了微创介入治疗的安全性与有效性。

▲封堵器植入术后超声心动图血流评估

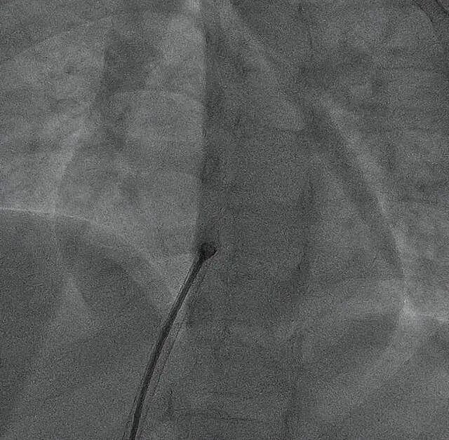
▲封堵器释放,置入区域无任何异物显影
本次手术的成功实施,得益于多学科协作(MDT)模式的有力支撑。由心血管内科胡恒境教授、唐义信教授牵头,联合超声影像科、麻醉科组建专项团队,依托湖南省医学“登峰”学科的长期积淀,构建起全流程闭环诊疗体系。各学科打破壁垒、优势互补,不仅保障了手术的安全与高效,也展现了现代医学协同诊疗的先进理念,为类似复杂病例的诊治提供了可复制的协作经验。
心血管内科学科带头人、执行院长唐惠芳教授表示,儿童健康是“健康中国”建设的重要基石,医院将持续推动心血管疾病诊疗技术的创新与应用,不断完善多学科协作机制,深耕结构性心脏病的精准诊疗,以更高水平的专业服务,守护区域及周边儿童健康,切实履行大型公立医院的社会责任与使命担当。










