CRT-D重启“心”生,重获“心”力
——衡阳市第一人民医院成功开展衡阳地区首例3.0T MRI兼容CRTD植入术
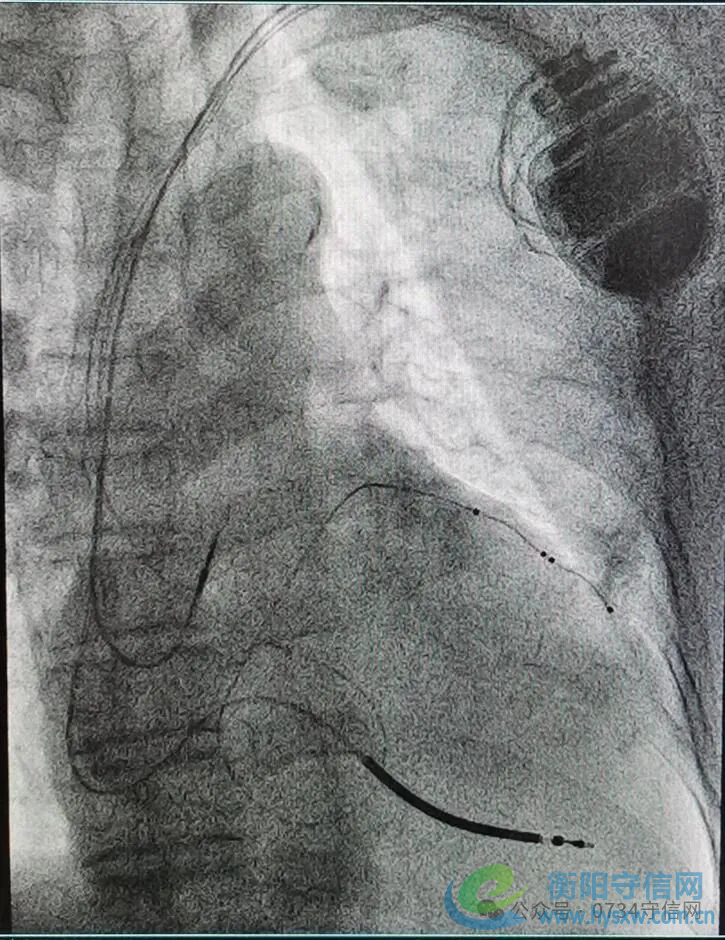
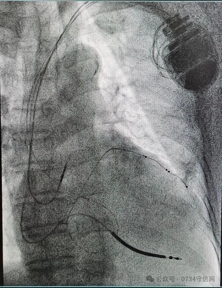
近日,衡阳市第一人民医院心血管内科专家团队成功为一名终末期心力衰竭患者,实施了衡阳地区首例3.0T磁共振(MRI)兼容心脏再同步化治疗心律转复除颤器(CRT-D)植入术。此项技术的开展,填补了区域内该领域的技术空白,标志着该院心脏起搏与电生理诊疗技术实现了跨越式提升,为当地心衰患者带来了新的生命守护方案。

作为心力衰竭治疗的“终极武器”之一,CRT-D(俗称“三腔除颤器”)是集治疗与防护于一体的高端医疗设备。它既具备心脏再同步治疗(CRT)的核心作用,又拥有植入式心律转复除颤器(ICD)的急救功能,为患者的生命安全拴上“双保险”。此次手术的关键突破在于“3.0T MRI兼容”。传统CRTD设备因受电磁兼容性限制,患者术后无法接受高磁场强MRI检查,而MRI作为多种疾病(如肿瘤、脑血管疾病)的重要诊查手段,其检查限制往往给患者后续诊疗带来极大困扰。3.0T MRI兼容型CRTD的成功应用,彻底打破了这一壁垒,患者术后可自由接受3.0T MRI检查,既不影响设备正常工作,又能获得全面精准的后续诊断,极大提升了治疗的安全性与便利性。


此次手术的成功,不仅彰显了衡阳市第一人民医院心血管内科在复杂心血管疾病诊疗领域的深厚实力,更凸显了团队勇于探索技术“盲区”、勇攀医学高峰的职业精神。未来,该院将继续聚焦心血管疾病诊疗前沿,强化学科建设与人才培养,以更精湛的技术和更优质的服务,守护雁城人民“心”健康。










