精准“膝”望!
——湖南省首例ROPA®骨科智能手术机器人膝关节置换术在南华附一成功开展
近日,南华大学附属第一医院关节外科的手术室内,两场融合前沿技术与精准操作的具有代表性的膝关节表面置换术顺利完成——困扰患者两位阿姨多年的膝骨关节炎,终于在“新技术赋能”的诊疗方案下,迎来了行动自由的新希望。这也是湖南省内首次应用ROPA®骨科智能手术机器人完成的膝关节表面置换手术,标志着该院关节外科发展又迈向全新的征程。
被疼痛困住的生活:两位骨关节炎患者的困扰
两位年过七旬的阿姨膝骨关节炎已伴随她们几十年,分别出现了膝关节严重的外翻与内翻畸形,上下楼梯钻心的疼、走几步路就得歇、连日常下蹲都成了“奢望”。随着病情加重,关节畸形、活动受限彻底打乱了她们的生活节奏,“能好好走两步”成了她最迫切的心愿。

掌握新技术、应用新技术:科室主动出击的诊疗升级
为了给骨关节炎患者带来更精准、微创的治疗,南华附一关节外科团队主动瞄准关节外科前沿技术,通过专项培训、模拟实操等方式,引进了机器人膝关节表面置换技术——这项技术能借助3D术前规划、AI精准定位,机器人准确截骨,让关节假体的安装精度控制在亚毫米级。

机器人准确截骨:科技+团队,让“换膝”更安心
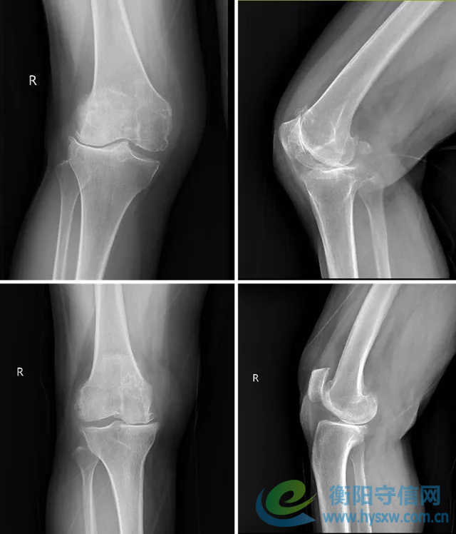
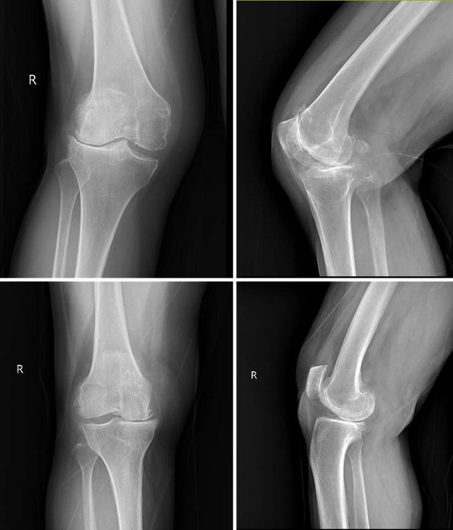
手术当日,手术室的高清屏幕上,两位阿姨膝关节的3D建模数据清晰呈现:从截骨角度到平衡屈伸间隙,从假体型号到安装位置,每一项参数都经过术前精准测算。将术前畸形的膝关节通过机器人准确截骨完美地实现了内外侧间隙在屈伸过程中的平衡。

手术中,麻醉师精准控制性降压,外科医护团队操控智能设备,在人工智能(AI)的引导下,精准完成关节面截骨、假体植入——相比传统手术,不仅创伤更小,还能最大程度匹配患者的解剖结构,为术后功能恢复打下基础。 从术前规划到术中操作,整个团队的协作紧凑而有序,每一个动作都彰显了丰富的手术经验及新技术的熟练应用。

以患者为中心:在“掌握新技术、应用新技术”里游刃有余
从主动引入前沿技术,到机器人膝关节表面置换术,南华附一关节骨科始终把“提升患者诊疗体验”放在首位,以人无我有,人有我精为目标。未来,科室将继续追踪关节外科的创新方向,把更多精准、微创的新技术转化为患者的“康复希望”,让更多受骨关节炎困扰的患者,重归自在生活。
ROPA®骨科智能手术机器人技术优势
AI智能个性化术前规划:人工智能图像分割与三维重建技术,清晰掌握患者术前情况;个性化、精细化手术方案规划,智能匹配假体;截骨操作术前预演,实时调整规划方案。
“数智眼”亚毫米级精准光学定位:根据患者情况,医师手术习惯,自主规划配准点位,实现术中采集高效,便捷,结果精准。
操控机械臂辅助精准截骨:自动化对刀功能能够精确锁定截骨面,实现对截骨量和截骨角度的精准控制;内置的重力补偿系统,持握轻巧平衡,操作高效省力。
安全截骨放心手术:术中免开髓,提供亚毫米级的精准定位,提供安全保护机制,减少软组织损伤,视、触觉反馈下精准截骨。
医生介绍

陈志伟
博士、主任医师、教授、博士生导师,现任南华大学附属第一医院骨科中心主任、骨科研究所所长、兼关节外科主任。湖南省‘新世纪121人才工程’第三梯队人才,湖南省卫生健康委‘225人才工程’学科主任,湖南省芙蓉计划卫生健康领军人才项目医学学科带头人。美国足踝外科学会(AOFAS)外籍委员、中华医学会骨科分会足踝学组委员、中国医师协会骨科分会骨关节炎工作委员会与足踝工作委员会委员、中国医药教育协会骨质疾病专业委员会常务委员,湖南省中西医与中医药学会骨科专业委员会副主任委员、湖南省康复医学会骨科专业委员会副主任委员,湖南省关节外科质量控制中心副主任委员,衡阳市医学会骨科专业委员会主任委员。
在南华大学附属第一医院领导班子的支持下,陈志伟主任带领骨科团队始终秉持“临床为本、创新为魂”的理念,持续推进亚专业建设。目前骨科中心已拥有13个亚专业组,包括关节外科、创伤、运动医学、手显微重建修复、骨病与骨肿瘤、足踝外科、小儿骨科、髋部创伤、脊柱肿瘤、脊柱感染、脊柱韧带、脊柱枕颈以及骨科研究所。构建了“专科有特色、专家有专长”的学科格局。通过新技术开展、诊疗规范优化与多学科协作,实现了临床技术与科研创新的双轨并进,为患者提供更精准、专业的医疗服务。











